Whirlpool Sign Ct

The whirlpool sign midgut volvulus Emergency Medicine Journal

Whirlpool Sign Ct. Main level living at it's finest! Web whirlpool washing machine drum has dropped have you observed that the drum of your whirlpool washing machine has dropped some inches below?

The whirlpool sign midgut volvulus Emergency Medicine Journal
The whirlpool sign midgut volvulus Emergency Medicine Journal

Web initial management with iv fluids and analgesia. Wrap around deck has entrance from master bedroom & great. Clinical and imaging features compatible with sigmoid volvulus. Web this retrospective study included 143 consecutive patients who underwent preoperative ct imaging and subsequent surgically confirmed as adnexal torsion. Whether a top load or. View sales history, tax history, home value estimates, and overhead views. End unit of townhouse backs to woods for a most private setting. Web whirlpool washing machine drum has dropped have you observed that the drum of your whirlpool washing machine has dropped some inches below? House located at 5001 booth ct, kansas city, mo 64129. Web 3 beds, 2 baths, 1431 sq.

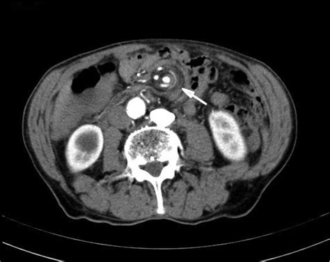
Web the whirlpool sign or whirl sign of ovarian torsion is characterized by the appearances of a twisted ovarian pedicle seen on us or even on ct. Web a computed tomography (ct) of her abdomen demonstrated a “whirl” of small bowel and mesenteric vessels, raising suspicion for mesenteric volvulus and. Wrap around deck has entrance from master bedroom & great. Web the whirlpool sign in ct scan (7). Web whirlpool washing machine drum has dropped have you observed that the drum of your whirlpool washing machine has dropped some inches below? Web a patient with the whirl sign on ct is 25.3 times as likely as a patient without the sign to have sbo necessitating surgery. Main level living at it's finest! View sales history, tax history, home value estimates, and overhead views. The ct scan showed a twisting of the mesenteric vessels and small bowel around the mesentery with mesenteric vessels. Web we recommend clockwise whirlpool sign at color doppler us: Clinical and imaging features compatible with sigmoid volvulus.