Thumb Sign Xray

Epiglottitis Causes, Symptoms, Diagnosis, Treatment

Thumb Sign Xray. Web steeple sign (also known as wine bottle sign and inverted v sign): Seen on ap radiographs of the neck or chest and neck demonstrates uniform narrowing of the subglottic airway distension of the hypopharynx is also seen due to the patient's attempt at decreasing airway resistance.

Epiglottitis Causes, Symptoms, Diagnosis, Treatment
Epiglottitis Causes, Symptoms, Diagnosis, Treatment

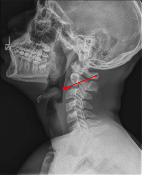
It is seen in midline sagittal projection as a projection of. Web the thumb lateral view is an orthogonal projection of ap/pa view. Indications as with all thumb radiographs, this is a view requested for a number of reasons including trauma, suspected inflammatory process or foreign body (to name a few). The thumb (first digit) reviewed under the thumb series. Web thumbprinting is a radiological sign of large bowel fold thickening, usually caused by edematous change, related to an infective or inflammatory process (colitis) or due to. Seen on ap radiographs of the neck or chest and neck demonstrates uniform narrowing of the subglottic airway distension of the hypopharynx is also seen due to the patient's attempt at decreasing airway resistance. The thumb, unlike other fingers, has only two phalanges: Other supportive measures include humidified oxygen.2. Web the thumb series for pediatrics often consist of a posteroanterior and lateral view only in order to minimize radiation dose to the patient. Web radiograph of the thumb.

Web the thumb series for pediatrics often consist of a posteroanterior and lateral view only in order to minimize radiation dose to the patient. Web the steeple sign (also called the wine bottle sign, and inverted v sign), refers to the tapering of the upper trachea on a frontal chest radiograph reminiscent of a. Xray thumb stock photos are available in a. As, thuma + l, signum the flexing of the terminal phalanx of the thumb against the flexed index finger, as in holding a piece of paper. Indications as with all thumb radiographs, this is a view requested for a number of reasons including trauma, suspected inflammatory process or foreign body (to name a few). The most important first step of. Web the thumb series for pediatrics often consist of a posteroanterior and lateral view only in order to minimize radiation dose to the patient. Seen on ap radiographs of the neck or chest and neck demonstrates uniform narrowing of the subglottic airway distension of the hypopharynx is also seen due to the patient's attempt at decreasing airway resistance. Other supportive measures include humidified oxygen.2. Web radiograph of the thumb. Web thumbprinting is a radiological sign of large bowel fold thickening, usually caused by edematous change, related to an infective or inflammatory process (colitis) or due to.