Target Sign Intussusception

Intussusception Conway Homer, P.C.

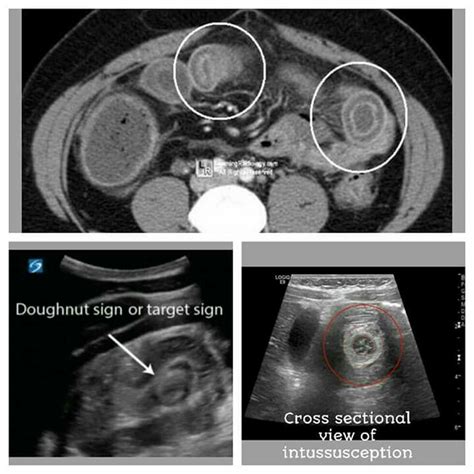
Target Sign Intussusception. The child was transferred to a tertiary center for pneumatic reduction. Web the target sign, as the presented case, consists of a round soft tissue mass that contains a radiolucent ring of fat within the intussusception.

Intussusception Conway Homer, P.C.
Intussusception Conway Homer, P.C.

Web the target sign of intestinal intussusception, also known as the doughnut sign or bull's eye sign. This indicates mesenteric fat around the head of the intussusception. See target sign of intussusception; The appearance is generated by concentric alternating echogenic and hypoechoic bands. Gastric adenocarcinoma with central ulceration Earliest lesion seen in crohn disease gastric lymphoma with central ulceration 4; Web target sign (also known as the doughnut sign) pseudokidney sign. Crescent in a doughnut sign. Web the doughnut sign or target sign refers to the alternating echogenic (mucosa and muscularis)) and hypoechoic (submucosa) concentric bands which are caused by the invagination of the bowel if you look carefully at this clip you can see the classic “doughnut” or target sign of intussusception. Web unfortunately, the circular mass may be strikingly similar to the “target sign” or “donut sign” seen in intussusception due to concentric layers of echogenic bowel.

Web the target sign, as the presented case, consists of a round soft tissue mass that contains a radiolucent ring of fat within the intussusception. Earliest lesion seen in crohn disease gastric lymphoma with central ulceration 4; Web the target sign of intestinal intussusception, also known as the doughnut sign or bull's eye sign. The appearance is generated by concentric alternating echogenic and hypoechoic bands. Web unfortunately, the circular mass may be strikingly similar to the “target sign” or “donut sign” seen in intussusception due to concentric layers of echogenic bowel. Web the doughnut sign or target sign refers to the alternating echogenic (mucosa and muscularis)) and hypoechoic (submucosa) concentric bands which are caused by the invagination of the bowel if you look carefully at this clip you can see the classic “doughnut” or target sign of intussusception. Gastric adenocarcinoma with central ulceration Features that favor ileocolic over small bowel intussusception 14: Web the target sign, as the presented case, consists of a round soft tissue mass that contains a radiolucent ring of fat within the intussusception. This indicates mesenteric fat around the head of the intussusception. Web there are many bull's eye signs, many also called target signs: