Swallow Tail Sign

swallow tail sign

Swallow Tail Sign. Web the swallow tail sign on mri scans and histologically defined nigrosome 1 differ with respect to geometry; Web sign language video of the sign swallow

swallow tail sign
swallow tail sign

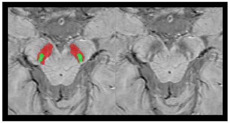
Web cases with unilateral abnormal findings were considered abnormal. Thier best selling dishes are aloo gobi masala,. Descriptive data are presented as numbers and percentages. Web it has been reported that in parkinson disease that there is absence of the high swi signal within the substantia nigra, known as the absent swallow tail sign 1. Malte brammerloh max planck institute for human cognitive and brain sciences evgeniya kirilina max planck institute. Thus, further investigation is warranted. Web loss of the normal swallow tail appearance of susceptibility signal pattern in the substantia nigra on axial imaging is perhaps the most promising diagnostic sign 12. Web we found that the swallow tail appearances of the healthy nigrosome can be readily and reliably recognised by trained radiologists making it an attractive diagnostic. Depict the swallow tail sign. The high signal intensity of nigrosome 1.

Web the swallow tail sign on mri scans and histologically defined nigrosome 1 differ with respect to geometry; Web sign language video of the sign swallow Interrater agreement was moderate (κ = 0.4) between raters. Web sign restaurant is a restaurant located in uae, serving a selection of indian, arabic, chinese that delivers across refa`ah. Web it has been reported that in parkinson disease that there is absence of the high swi signal within the substantia nigra, known as the absent swallow tail sign 1. Web swallow tail sign: Web we found that the swallow tail appearances of the healthy nigrosome can be readily and reliably recognised by trained radiologists making it an attractive diagnostic. Web loss of the normal swallow tail appearance of susceptibility signal pattern in the substantia nigra on axial imaging is perhaps the most promising diagnostic sign 12. To investigate whether the absence of the. Web the swallow tail sign was assessed independently by 2 neuroradiologists. Web the swallow tail sign on mri scans and histologically defined nigrosome 1 differ with respect to geometry;