String Of Pearls Sign

Pearl String PNG Image PurePNG Free transparent CC0 PNG Image Library

String Of Pearls Sign. The flowering plant curio rowleyanus curio rowleyanus (syn. Web string of pearls definition.

Pearl String PNG Image PurePNG Free transparent CC0 PNG Image Library
Pearl String PNG Image PurePNG Free transparent CC0 PNG Image Library

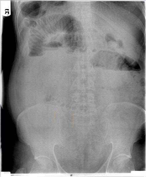
Web signs that your string of pearls isn’t getting enough light. A point of transition from. Web the term “string of pearls” or “crown of jewels” appearance denotes the presence of multiple tense vesicles and bullae arranged circumferentially on an erythematous base. Web the string of pearls sign, when present in the appropriate clinical setting, is virtually diagnostic of small bowel obstruction. Let’s take a look at some of the ways you can tell if your string of pearls is struggling. Web the string of pearls sign. Web gas in the peripheral part of right lobe liver in portal venous branches demonstrating portal venous gas. Used other than figuratively or idiomatically: Web string of pearls definition. Web string of pearls sign can refer to:

Web check out our string of pearls selection for the very best in unique or custom, handmade pieces from our succulents & cacti shops. Vascularity was present in dilated small bowel. A point of transition from. Web string of pearls was created to provide a nurturing and safe place for families as they navigate the path following a prenatal diagnosis that may result in the death of their baby. A term for a finding in lipoid proteinosis consisting of a row of beaded papules along the eyelid margins, which resembles a string of pearls. Web the string of pearls (or beads) sign in the ovary is the ultrasound sign of multiple small (<5 mm) follicles peripherally located in the gonad. Web the string of pearls sign in a patient with mechanical small bowel obstruction due to adhesions. Web signs that your string of pearls isn’t getting enough light. Web string of pearls plants don’t need to be repotted often as they have quite a shallow root base. Web the term “string of pearls” or “crown of jewels” appearance denotes the presence of multiple tense vesicles and bullae arranged circumferentially on an erythematous base. Web string of pearls definition.