Steeple Sign Xray

Croup steeple sign Image

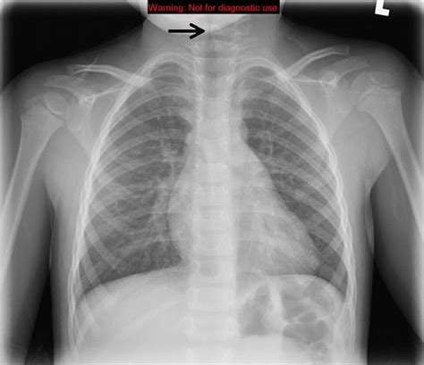
Steeple Sign Xray. Web in radiology, the steeple sign is a radiologic sign found on a frontal neck radiograph where subglottic tracheal narrowing produces the shape of a church steeple within the trachea itself. Web related to steeple sign:

Croup steeple sign Image
Croup steeple sign Image

Web in radiology, the steeple sign is a radiologic sign found on a frontal neck radiograph where subglottic tracheal narrowing produces the shape of a church steeple within the trachea itself. Features demonstrating the steeple sign in keeping with croup. Distension of the hypopharynx is also seen due to the patient's attempt at decreasing airway resistance. Web the steeple sign (also called the wine bottle sign, and inverted v sign), refers to the tapering of the upper trachea on a frontal chest radiograph reminiscent of a church steeple, suggestive of croup. Seen on ap radiographs of the neck or chest and neck demonstrates uniform narrowing of the subglottic airway. Thumb sign is a term also used in other conditions: Web related to steeple sign: 2 case questions available annotated image zoomed image of the steeple sign, consistent with croup. Epiglottitis, croup, stridor, racemic epinephrine, tripod sign steeple sign the radiologic image of subglottic narrowing from edema, suggestive of a steeple, seen in croup. The steeple sign is seen on anteroposterior radiographs of the soft tissues of the neck.

2 case questions available annotated image zoomed image of the steeple sign, consistent with croup. Web in radiology, the steeple sign is a radiologic sign found on a frontal neck radiograph where subglottic tracheal narrowing produces the shape of a church steeple within the trachea itself. Notable causes and complications in acute respiratory failure Features demonstrating the steeple sign in keeping with croup. Thumb sign is a term also used in other conditions: 2 case questions available annotated image zoomed image of the steeple sign, consistent with croup. Seen on ap radiographs of the neck or chest and neck demonstrates uniform narrowing of the subglottic airway. Case discussion croup (laryngotracheitis) is a common diagnosis made in children six months to three years of age. Epiglottitis, croup, stridor, racemic epinephrine, tripod sign steeple sign the radiologic image of subglottic narrowing from edema, suggestive of a steeple, seen in croup. Web related to steeple sign: The steeple sign is seen on anteroposterior radiographs of the soft tissues of the neck.