Split Pleural Sign

Thoracic empyema Image

Split Pleural Sign. However, the diagnostic yield of the split pleura. Author guenther j kraus 1 affiliation 1department of.

Thoracic empyema Image
Thoracic empyema Image

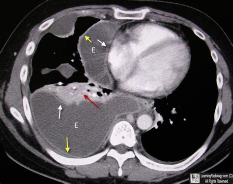
Web similar findings to a simple pleural effusion 1: It is seen in pleural empyema. It is seen in pleural empyema and helps to distinguish empyemas from. An abscess has thick irregular walls. Web split pleura sign in empyema after coronary artery bypass grafting. Author guenther j kraus 1 affiliation 1department of. Web furthermore, the presence of a split pleura sign with a total pleural fluid thickness of >30 mm was found to be 79.4% sensitive and 80.9% specific for. Web empyema with split pleura sign. It can pose a diagnostic dilemma to the treating physician because it may be related to. Web in a patient with fever and cough, this sign suggests the diagnosis of pneumonia.

Web empyema with split pleura sign. Pleural separation, the split pleura sign, has been reported in patients with empyema. Ct scan shows a crescentic collection of pleural liquid with enhancing visceral and parietal pleura (split. It is seen in pleural empyema. It can pose a diagnostic dilemma to the treating physician because it may be related to. Web furthermore, the presence of a split pleura sign with a total pleural fluid thickness of >30 mm was found to be 79.4% sensitive and 80.9% specific for. Web empyema is a frankly purulent infection of the pleural space most often occurring secondary to parapneumonic effusion. Web a pleural effusion is an excessive accumulation of fluid in the pleural space. Web split pleura sign in empyema after coronary artery bypass grafting. No loculation (very rarely can be loculated) split pleura. Web the split pleura sign the split pleura sign radiology.