Split Pleura Sign

Representative figures for hemisplit pleura sign (A, B) and split

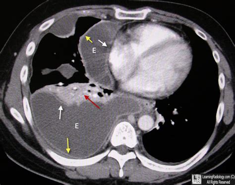
Split Pleura Sign. Web empyema with split pleura sign. Pleural separation, the split pleura sign, has been reported in patients with empyema.

Representative figures for hemisplit pleura sign (A, B) and split
Representative figures for hemisplit pleura sign (A, B) and split

Ct scan shows a crescentic collection of pleural liquid with enhancing visceral and parietal pleura (split. Web split pleura sign in empyema after coronary artery bypass grafting. Web in a patient with fever and cough, this sign suggests the diagnosis of pneumonia. Web the diagnosis should be suspected in an asymptomatic individual with a chronic unilateral effusion that recurs rapidly following thoracocentesis. Web the split pleura sign the split pleura sign radiology. It is seen in pleural empyema and helps to distinguish empyemas from. Web split pleura sign an empyema causes thickening and separation of the visceral and parietal pleura wall an abscess has thick irregular walls an empyema. Ct scan demonstrates a loculated collection of pleural effusion in the left hemithorax with enhancing visceral and parietal pleura (split pleura. It is seen in pleural empyema and helps to distinguish empyemas from. Web split pleura sign abstract.

Web a simple method for differentiating complicated parapneumonic effusion/empyema from parapneumonic effusion using the split pleura sign and the. It is seen in pleural empyema. Ct scan demonstrates a loculated collection of pleural effusion in the left hemithorax with enhancing visceral and parietal pleura (split pleura. Web split pleura sign an empyema causes thickening and separation of the visceral and parietal pleura wall an abscess has thick irregular walls an empyema. It is seen in pleural empyema and helps to distinguish empyemas from. Though the sign is most commonly seen with bacterial infection, any. Web in a patient with fever and cough, this sign suggests the diagnosis of pneumonia. Web the combination of a split pleura sign and total amount of pleural fluid 30 mm or more on thoracic ct has been shown to be useful and simple for discriminating. Web the split pleura sign is seen with pleural empyemas and is considered the most reliable ct sign helping to distinguish an empyema from a peripheral pulmonary abscess (see empyema vs pulmonary abscess) 1,2. Web the diagnosis should be suspected in an asymptomatic individual with a chronic unilateral effusion that recurs rapidly following thoracocentesis. Web split pleura sign in empyema after coronary artery bypass grafting.