Soft Tissue Rim Sign

Soft tissue rim sign ureteric stone Radiology Case

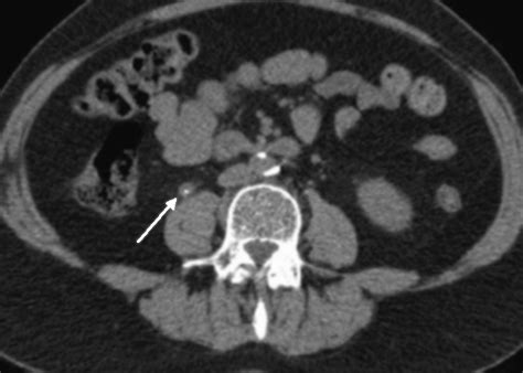
Soft Tissue Rim Sign. Web a slight rim of soft tissue is noted around the stone (ie, rim sign). Web other rim signs in radiology:

Soft tissue rim sign ureteric stone Radiology Case
Soft tissue rim sign ureteric stone Radiology Case

Nonenhanced ct image of the right kidney shows slight perinephric fluid but no stone or. Web a slight rim of soft tissue is noted around the stone (ie, rim sign). Web other rim signs in radiology: A ct finding consisting of oedema of the ureter which develops in response to an impacted ureteral stone, which serves to differentiate it from a phlebolith. Web the rim sign was present in 105 of 136 ureteral calculi (77%) and in 20 of 259 phleboliths (8%) and yielded a sensitivity of 77% and a specificity of 92% for. Useful in distinguishing lobar nephronia from a segmental renal infarct. Epidemiology incidence is reported to be 1 in 1 000 000 and most. Web the sign refers to a tail of soft tissue extending from a calcification, representing the collapsed/scarred/thrombosed parent vein. Web intramuscular myxomas are a rare benign type of soft tissue myxoma that is mesenchymal in origin. Web radiological findings of circumferential ureteral soft tissue edema (rim sign) and an irregular tapering soft tissue mass (comet tail sign) can suggest a ureteral and.

Web radiological findings of circumferential ureteral soft tissue edema (rim sign) and an irregular tapering soft tissue mass (comet tail sign) can suggest a ureteral and. Epidemiology incidence is reported to be 1 in 1 000 000 and most. Useful in distinguishing lobar nephronia from a segmental renal infarct. A ct finding consisting of oedema of the ureter which develops in response to an impacted ureteral stone, which serves to differentiate it from a phlebolith. It is peculiar for distinguishing ureteral stones from phlebolites [9]. Nonenhanced ct image of the right kidney shows slight perinephric fluid but no stone or. When well seen, it is said to. This sign is a reliable indicator that the. Web other rim signs in radiology: Web radiological findings of circumferential ureteral soft tissue edema (rim sign) and an irregular tapering soft tissue mass (comet tail sign) can suggest a ureteral and. Web soft tissue rim sign.