Soap Bubble Sign

Vector soap bubble 458199 Vector Art at Vecteezy

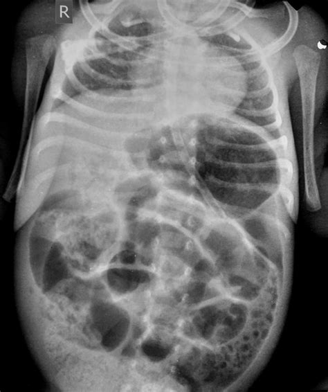
Soap Bubble Sign. A high index of suspicion is needed in preterm babies. An expansile lytic lesion with internal trabeculations and preserved cortex, usually of benign nature but may be used to describe more aggressive lesions.

Vector soap bubble 458199 Vector Art at Vecteezy
Vector soap bubble 458199 Vector Art at Vecteezy

Web check out our soap bubble poster selection for the very best in unique or custom, handmade pieces from our bar soaps shops. Early recognition of this finding and timely prompt intervention can significantly reduce mortality and morbidity. Web soap bubbles icon on white background. Web soap bubble appearance is an important classical radiological finding in neonatal necrotising enterocolitis. Web download over 2,137 icons of soap bubbles in svg, psd, png, eps format or as web fonts. Web check out our soap bubbles sign selection for the very best in unique or custom, handmade pieces from our shops. Web bathtub cat retro metal tin sign, black cat soak your troubles bubble bath soap foam poster vintage toilet cave bar home bathroom wall decoration sign 8x12 inches 4.7 out of 5 stars 49 save 39% A soap bubble appearance of a bone lesion refers to: Privacy settings etsy uses cookies and similar. A high index of suspicion is needed in preterm babies.

Bubbles icon for your web site design, logo, app, ui. A soap bubble appearance of a bone lesion refers to: Bubbles icon for your web site design, logo, app, ui. Web soap bubbles icon on white background. Early recognition of this finding and timely prompt intervention can significantly reduce mortality and morbidity. Web check out our soap bubble poster selection for the very best in unique or custom, handmade pieces from our bar soaps shops. Web download over 2,137 icons of soap bubbles in svg, psd, png, eps format or as web fonts. Web soap bubble appearance is an important classical radiological finding in neonatal necrotising enterocolitis. Web a soap bubble is an extremely thin film of soap or detergent and water enclosing air that forms a hollow sphere with an iridescent surface. Flaticon, the largest database of free icons. Web check out our soap bubbles sign selection for the very best in unique or custom, handmade pieces from our shops.