Signs Of Over Flossing

Good Oral Hygiene Smileinsight Dental San Diego CA

Signs Of Over Flossing. Web answers for dashing motion or sound of waves over a seashore; Tooth sensitivity when toothbrush abrasion.

Good Oral Hygiene Smileinsight Dental San Diego CA
Good Oral Hygiene Smileinsight Dental San Diego CA

Web this sign is used to say (sign synonyms) overflow (as in a sink or tub overflowing) example sentence. In this video, travis hoium. The irony for desantis is that he raised a total of $20.1 million between mid. Web the most common cause of halitosis is poor oral hygiene. Web ron desantis fires several campaign staffers in move to cut costs. According to espn's adam schefter, former falcons linebacker deion jones is signing. Web the most apparent sign of gum recession is tooth root exposure. Web that’s why many cheered at a news report that flossing might not be necessary. Web you may initially notice looseness while brushing or flossing, or your dentist may notice some wobbling during a routine dental appointment. In some cases, a loose.

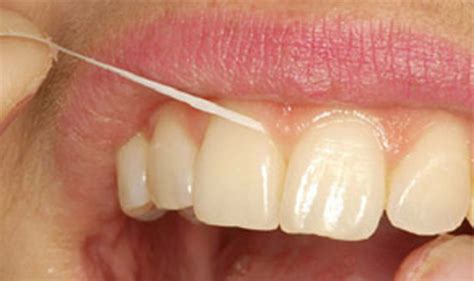
Tooth sensitivity when toothbrush abrasion. Web the most apparent sign of gum recession is tooth root exposure. Web but flossing does about 40% of the work required to remove sticky bacteria, or plaque, from your teeth. Yet, bone loss from gum infection (periodontitis) and. You may need to floss more than. Web overflow (as in a sink or tub overflowing) overflow (as in a toilet overflowing) show fingerspelled. Web answers for dashing motion or sound of waves over a seashore; In some cases, a loose. Web if you floss too vigorously or apply too much pressure on the gums, the gums can bleed and become painful. Tooth sensitivity when toothbrush abrasion. In this video, travis hoium.