Sentinel Loop Sign

Sentinel loop and sentinel loop sign

Sentinel Loop Sign. Web is your current sign in need of repair or maintenance? This is now an established radiographic sign of acute pancreatitis and has been reported as occurring in as high as 55 per cent of the cases (12).

Sentinel loop and sentinel loop sign
Sentinel loop and sentinel loop sign

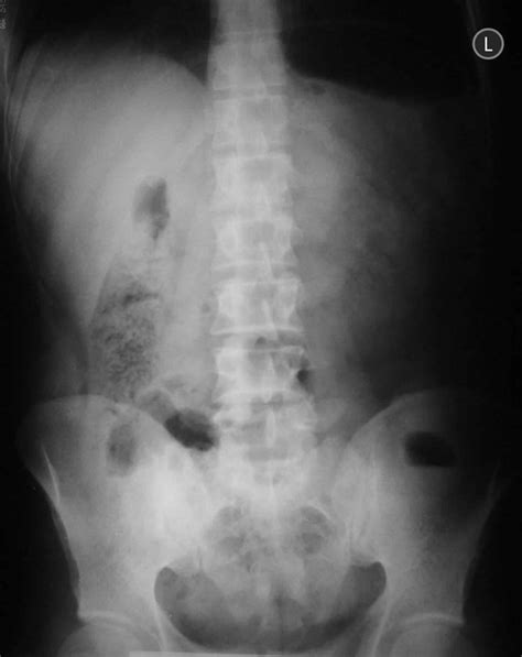
This turnaround however lies beyond the border inspection station. This is now an established radiographic sign of acute pancreatitis and has been reported as occurring in as high as 55 per cent of the cases (12). Web in 1950 grollman, goodman, and fine (6) introduced the term “sentinel loop” for the localized ileus involving the jejunum. Web sentinel loop sign | definition of sentinel loop sign by medical dictionary thefreedictionary google sentinel loop sign sen·ti·nel loop sign in gastrointestinal radiography, dilation of a segment of large or small intestine, indicative of localized ileus from nearby inflammation. Web the sentinel loop sign 3193 fig. Case discussion focal area of adynamic ileus close to the appendix location at right lower quadrant in a patient with abdominal pain and tenderness is compatible with a sentinel loop due to acute appendicitis. Web a sentinel loop is a sign seen on a radiograph that indicates localized ileus from nearby inflammation.[1] simply put, it is the dilation of a segment of small intestine to be differentiated from colonic cutoff sign which is a dilation of a. Less well known are the adynamic changes in the large bowel. Web portions of the downtown loop will be closed for 10 months. Web the sentinel clot sign is a useful ct finding for the evaluation of probable anatomic sites of hemorrhage.

105 dorsa avenue, livingston, nj 07039, usa. Web speed limit 55 sign logo symbol svg png dxf eps pdf layered by color cut file silhouette road street drive car vector graphic (2.2k) $ 1.00. Motorists headed to the beltway north were directed to use route 152 west previously from liberty. Web portions of the downtown loop will be closed for 10 months. Web first reported by levitan in 1946, the sentinel loop sign refers to the appearance of localized ileus on abdominal radiographs. Find funny gifs, cute gifs, reaction gifs and more. Add to favorites nautical signal flag sign on canvas, framed canvas, or metal, the perfect wall art for your beach or lake house, vintage print, initial p (287) $ 60.00. This turnaround however lies beyond the border inspection station. Case discussion focal area of adynamic ileus close to the appendix location at right lower quadrant in a patient with abdominal pain and tenderness is compatible with a sentinel loop due to acute appendicitis. Web the sentinel clot sign is a useful ct finding for the evaluation of probable anatomic sites of hemorrhage. Levitan described a single distended loop of small bowel in cases of acute gallbladder disease, acute appendicitis, and subhepatic abscess on supine abdominal radiographs.