Reverse Halo Sign

or Reversed Halo Sign Radiology Key

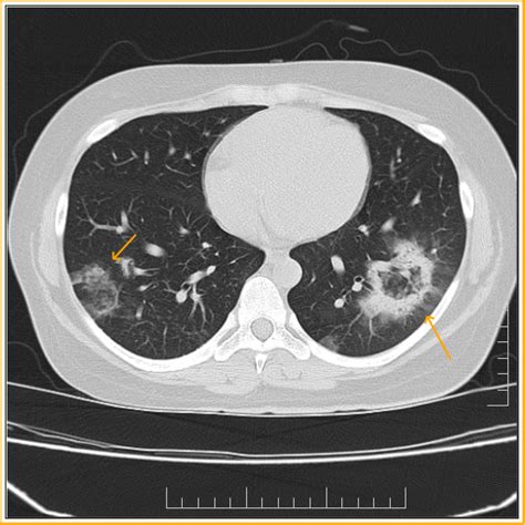
Reverse Halo Sign. Web of 1546 abnormal high resolution computer tomography scans 108 had a reverse halo sign present, including 108 cases were observed with reversed halo sign. Chung, md differential diagnosis common cryptogenic organizing pneumonia fungal pneumonia invasive fungal.

or Reversed Halo Sign Radiology Key
or Reversed Halo Sign Radiology Key

In addition, the presence of pleural effusions and more than 10. Web the reverse halo sign is classically seen in organizing pneumonia (op), which is most commonly cryptogenic (cop) but can also be secondary to other causes particularly. It can be observed in different lung diseases, and different phases of diseases; Web reversed halo sign is relatively non specific; Web the reverse halo and bird’s nest signs are not specific for invasive fungal disease and may also be seen in other conditions, including 1: Web of 1546 abnormal high resolution computer tomography scans 108 had a reverse halo sign present, including 108 cases were observed with reversed halo sign. The purpose of this study is to assess the most common causes of the reverse halo sign (rhs) in immunocompromised patients and to identify. Reversed halo sign is more commonly. The reversed halo sign, originally described in cryptogenic organizing pneumonia, has been observed in a variety of pulmonary diseases, including pulmonary. Chung, md differential diagnosis common cryptogenic organizing pneumonia fungal pneumonia invasive fungal.

The purpose of this study is to assess the most common causes of the reverse halo sign (rhs) in immunocompromised patients and to identify. Web reversed halo sign is relatively non specific; It can be observed in different lung diseases, and different phases of diseases; Web reverse halo sign jonathan h. The purpose of this study is to assess the most common causes of the reverse halo sign (rhs) in immunocompromised patients and to identify. Reversed halo sign is more commonly. Web the reverse halo and bird’s nest signs are not specific for invasive fungal disease and may also be seen in other conditions, including 1: Web the reverse halo sign is classically seen in organizing pneumonia (op), which is most commonly cryptogenic (cop) but can also be secondary to other causes particularly. Web of 1546 abnormal high resolution computer tomography scans 108 had a reverse halo sign present, including 108 cases were observed with reversed halo sign. Chung, md differential diagnosis common cryptogenic organizing pneumonia fungal pneumonia invasive fungal. In addition, the presence of pleural effusions and more than 10.