Rac Sign Echo

vintage RAC illuminated sign vintage RAC illuminated sign.… Flickr

Rac Sign Echo. Retroaortic anomalous coronary artery visualization by transthoracic echocardiography. Rath® manufactures elevator landing signs, area of refuge.

vintage RAC illuminated sign vintage RAC illuminated sign.… Flickr
vintage RAC illuminated sign vintage RAC illuminated sign.… Flickr

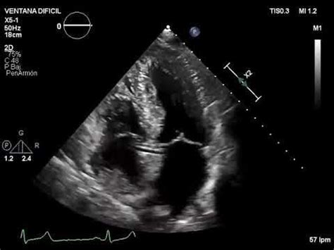
Web the rac sign must be distinguished from aortic valve calcifications, which instead have a consensual movement to that of the valve and also do not have internal. Web echocardiography, or cardiovascular ultrasound, is the most widely performed cardiac imaging test to assess the heart’s structure and function. Coronary angiography in the rao view. 2 a typical rac sign is shown in. Web clear and simple, they ensure that no matter what the situation or emergency, instructions are always understood. Rath® manufactures elevator landing signs, area of refuge. Retroaortic anomalous coronary artery visualization by transthoracic echocardiography. Web saint luke's school of echocardiography provides students with the skills necessary to succeed in a specialized segment of sonography that is rapidly growing in demand. Web the retroaortic anomalous coronary (rac) sign is an unknown finding that has been described on transthoracic echocardiography as an echogenic tubular structure. Coronary angiography in the rao view.

Web clear and simple, they ensure that no matter what the situation or emergency, instructions are always understood. Web check out our railroad crossing sign selection for the very best in unique or custom, handmade pieces from our signs shops. Retroaortic anomalous coronary artery visualization by transthoracic echocardiography Web saint luke's school of echocardiography provides students with the skills necessary to succeed in a specialized segment of sonography that is rapidly growing in demand. Web the rac program was implemented by the centers for medicare and medicaid services (cms) to audit the billing and medical records of medicare providers. Rath® manufactures elevator landing signs, area of refuge. Retroaortic anomalous coronary artery visualization by transthoracic echocardiography. Web the rac sign: Web the retroaortic anomalous coronary (rac) sign is an unknown finding that has been described on transthoracic echocardiography as an echogenic tubular structure. Web echocardiography, or cardiovascular ultrasound, is the most widely performed cardiac imaging test to assess the heart’s structure and function. Coronary angiography in the rao view.