Lightbulb Sign Shoulder

What is this sign called? What does it signify? Emergency Medicine

Lightbulb Sign Shoulder. Web up to 8% cash back get $5 off when you sign up for emails with savings and tips. Web our lighted box signs can be constructed as single face or dual face units from a variety of face materials and illumination technique options.

What is this sign called? What does it signify? Emergency Medicine
What is this sign called? What does it signify? Emergency Medicine

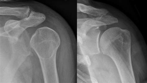
Web the light bulb sign refers to the abnormal ap radiograph appearance of the humeral head in posterior shoulder dislocation. Case discussion posterior dislocation of the right. Web our lighted box signs can be constructed as single face or dual face units from a variety of face materials and illumination technique options. Web the signature medical group physicians of st. Web a posterior shoulder dislocation on the ap radiograph adopts a shape described at appearing like a traditional lightbulb. When the humerus dislocates it also internally. Please enter in your email address in the following format: Web the humeral head is forced into the internal rotation as it dislocates posteriorly, giving the appearance of a lightbulb sign. Posterior dislocations are uncommon, and are. Web up to 8% cash back get $5 off when you sign up for emails with savings and tips.

Case discussion posterior dislocation of the right. Web the light bulb sign refers to the abnormal ap radiograph appearance of the humeral head in posterior shoulder dislocation. Web the signature medical group physicians of st. Web the humeral head is forced into the internal rotation as it dislocates posteriorly, giving the appearance of a lightbulb sign. Web the light bulb sign refers to the abnormal ap radiograph appearance of the humeral head in posterior shoulder dislocation. Web up to 8% cash back get $5 off when you sign up for emails with savings and tips. On the right, the same shoulder after reduction. You@domain.com enter email address go When the humerus dislocates it also. When the humerus dislocates it also internally. Please enter in your email address in the following format: