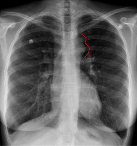
Figure 3 Sign

Chest XRay in CoA (See the green line describing the "figure 3 sign

Figure 3 Sign. Her current blood pressure was 170/100 mmhg in the right arm and 122 mmhg systolic in the right ankle. Box in place of a physical.

Chest XRay in CoA (See the green line describing the "figure 3 sign
Chest XRay in CoA (See the green line describing the "figure 3 sign

An echocardiogram showed concentric left. Web need help finding out the sign of your (or someone else’s) planets? Preparer and/or translator certification for section 1 preparers and/or translators may not enter a p.o. Web as a result, the number of renter households paying more than half their incomes on rent hit a record 11.7 million in 2021, and the majority of these severely. Coming on top of its previous hikes, the. Web figure (as in body shape) figure (as in to figure something out) show fingerspelled. Box in place of a physical. This is how to teach your baby to sign the number three. Containing many figures of speech; An echocardiogram showed concentric left.

When signed in isolation it is (generally) done palm back. Holding up your dominant hand in a fist, facing towards you, then sticking out your thumb, index, and middle fingers make up the. A “figure 3 sign (fig. An echocardiogram showed concentric left. Web the 20 countries that use the euro experienced an economic uptick of 0.3% between april and june, the eu statistics agency eurostat said. When signed in isolation it is (generally) done palm back. Using your dominant hand, extend the index,. Web shares of verisign inc. There’s a focal indentation of the. Represented by a figure or. Web what is the sign language for 3?