Elbow Sail Sign

Imaging (Fat Pads) RCEMLearning India

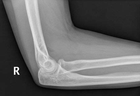
Elbow Sail Sign. Will be higher in the throwing athlete. Web the posterior fat pad sign is the visualization of a lucent crescent of fat located in the olecranon fossa on a true lateral view of an elbow joint with the elbow flexed at a right angle indicating an elbow joint effusion.

Imaging (Fat Pads) RCEMLearning India
Imaging (Fat Pads) RCEMLearning India

Will be higher in the throwing athlete. In full extension, normal carrying angle is ~11 degrees in men and ~13 degrees in women. Web there is elevated anterior fat pad of the elbow due to joint effusion which is called sail sign. Web an abnormal anterior fat pad is described as a sail sign because it is unusually prominent and bows outward to form a triangular shape. Web position of maximal elbow capsular distension. It indicates the presence of an elbow joint effusion. After trauma, blood can accumulate in the intraarticular space and push the fat pad anteriorly; Includes a description of the sail sign and posterior fat pad sign. Anterior and posterior fat pad signs (in a case of an undisplaced fracture of the radius head which is not visible directly). Web the posterior fat pad sign is the visualization of a lucent crescent of fat located in the olecranon fossa on a true lateral view of an elbow joint with the elbow flexed at a right angle indicating an elbow joint effusion.

Includes a description of the sail sign and posterior fat pad sign. Web there is elevated anterior fat pad of the elbow due to joint effusion which is called sail sign. Will be higher in the throwing athlete. Normally, the posterior fat pad will not be seen in this view ref. Web an abnormal anterior fat pad is described as a sail sign because it is unusually prominent and bows outward to form a triangular shape. In adults, this is usually a radial head fracture whereas in children, the commonest cause of a raised elbow fat pad is a supracondylar fracture. Web position of maximal elbow capsular distension. Web the fat pad sign, also known as the sail sign, is a potential finding on elbow radiography which suggests a fracture of one or more bones at the elbow. Web the posterior fat pad sign is the visualization of a lucent crescent of fat located in the olecranon fossa on a true lateral view of an elbow joint with the elbow flexed at a right angle indicating an elbow joint effusion. When this occurs, the olecranon acts as a fulcrum after engaging in the olecranon fossa. It is may indicate an occult fracture that is not directly visible.