Draping Aorta Sign

Spectrum Of Ct Findings In Rupture And Impendinging Rupture Of AAA

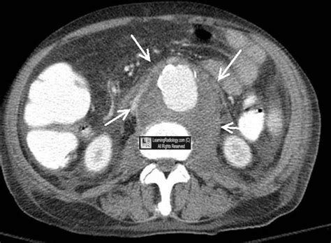
Draping Aorta Sign. Web the “draped aorta” sign (↑) can indicate a recent rupture of the aorta. An aortic aneurysm is a weak spot in the wall of the body’s main artery, which is called the aorta.

Spectrum Of Ct Findings In Rupture And Impendinging Rupture Of AAA
Spectrum Of Ct Findings In Rupture And Impendinging Rupture Of AAA

Web the “draped aorta” sign (↑) can indicate a recent rupture of the aorta. The most common imaging features of mycotic aneurysm are periaortic soft tissue stranding and soft tissue mass. It is highly indicative of aortic wall deficiency. Symptoms include chest pain, fainting, and shortness of breath. However, of the four aa patients with the draped aorta sign in our sample, two showed no signs of rupture when they underwent surgery, and the other two had no index ct scan or reports of rupture or surgery in another service described in their medical. B axial enhanced ct of. Thank you for choosing to take an online vein screening with midwest aortic & vascular institute. Draped aorta sign can be seen in contained rupture of an abdominal aortic aneurysm. This sign is considered present when the posterior wall of an aortic aneurysm drapes or molds to the anterior surface of the vertebra. The draping aorta sign is considered present when the posterior wall of the aortic aneurysm drapes or moulds to.

A illustration depicts loss of normal aneurysm wall convexity. To evaluate the usefulness of a new computed tomographic (ct) sign of draped aorta in the diagnosis of a contained leak in an aortic aneurysm. B nect in axial view from the same patient also. Read about the causes, diagnosis, and treatment of this condition. In some patients, the first symptom is sudden death. An aortic aneurysm is a weak spot in the wall of the body’s main artery, which is called the aorta. Ct scans were retrospectively evaluated in 10 patients in whom an unidentifiable aortic wall and posterior aspect of the aorta that. Type a aortic dissection involves the ascending aorta and is surgically managed. Web the draped aorta sign on computed tomograms represents an early stage in the development of the pathological process, when the hemorrhage is contained by the fusion of the anterior renal fascia. Web hyperdense crescent sign and draped aorta sign are indicators of contained aortic leak or impending rupture. It is highly indicative of aortic wall deficiency.