Double Sac Sign

Basics of Ultrasound in Obstetrics Chapter 20.1 Media Library WFUMB

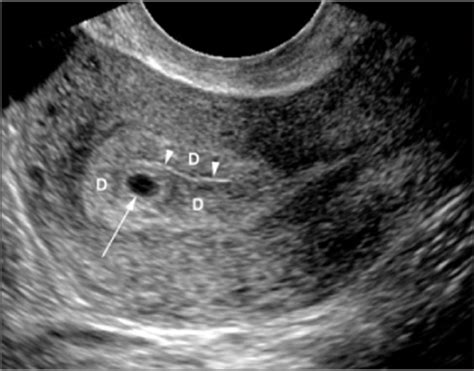
Double Sac Sign. Interobserver reliability and frequency of occurrence the sonographic appearance of early gestational sacs, before visualization of a yolk sac or embryo, is highly variable. Image b is a color overlay of the structures that contribute to the appearance, including the gs, surrounded by the decidua capsularis (light pink), partially surrounded by the decidua parietalis (dark pink).

Basics of Ultrasound in Obstetrics Chapter 20.1 Media Library WFUMB
Basics of Ultrasound in Obstetrics Chapter 20.1 Media Library WFUMB

Gestational sac should be ~6 mm in diameter; This morphologic appearance differs from and excludes the presence of an ectopic pregnancy. Web intradecidual sac sign (idss) is a useful feature in identifying an early intrauterine pregnancy (iup) as early as 25 days of gestation 1. Image b is a color overlay of the structures that contribute to the appearance, including the gs, surrounded by the decidua capsularis (light pink), partially surrounded by the decidua parietalis (dark pink). Web the double decidual sac sign (ddss) is a useful feature on early pregnancy ultrasound to confirm an early intrauterine pregnancy (iup) when the yolk sac or embryo is still not visualized. 20 pdf tools share get access to the full version of this article. Web early iup with double decidual sac sign transvaginal ultrasound shows an early intrauterine pregnancy with double decidual sac sign. Gestational sac should be visible by this time; Is it reliable for diagnosis of early intrauterine pregnancy? Web the first, the double decidual sac sign, was described in 1982 by bradley et al.

Web these two signs are: Web doubilet pm, benson cb. The intradecidual sign is seen before 5 weeks age as a small anechoic area (sac) on either side of the central endometrial echo (uterine cavity line) within the thickened decidua. 1) intradecidual sign and 2) double decidual sign. Gestational sac should be visible by this time; Chiang g, levine d, swire m, et al. Web early iup with double decidual sac sign transvaginal ultrasound shows an early intrauterine pregnancy with double decidual sac sign. [ 3] as two concentric echogenic rings of tissue surrounding the intrauterine sac that protrude into the uterine cavity. The threshold level (earliest one can see the sign) is 24 days of gestation and the discriminatory level (one should always see the sac) is 47 days. Web these two signs are: Web double sac sign and intradecidual sign in early pregnancy interobserver reliability and frequency of occurrence peter m.