Double Duct Sign

Double duct sign Radiology Case

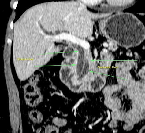
Double Duct Sign. The double duct sign, a simultaneous stenosis of the common bile duct and the pancreatic duct by endoscopic retrograde cholangiopancreatography (ercp), has been reported to predict the presence of pancreatic cancer with a high degree of certainty. Web the double duct sign refers to the presence of simultaneous dilatation of the common bile and pancreatic ducts.

Double duct sign Radiology Case
Double duct sign Radiology Case

It is almost pathognomonic of carcinoma of the pancreas with the rare instances of chronic pancreatitis causing the obstruction. The double duct sign, a simultaneous stenosis of the common bile duct and the pancreatic duct by endoscopic retrograde cholangiopancreatography (ercp), has been reported to predict the presence of pancreatic cancer with a. Web the ct study shows a double duct sign that refers simultaneous dilatation of the common bile and pancreatic ducts. Author jorge ahualli 1 affiliation 1department of computed tomography, centro radiológico luis méndez collado, muñecas 444, san miguel de tucumán, tucumán 4000, argentina. In general, the double duct sign represents a. Web the double duct sign radiology. This sign is frequently encountered in radiological imaging. Being an anatomical sign it can be seen on all modalities that can visualise the region, including: Web this double duct sign is the simeltaneous presentation of a dilated pancreatic duct (mpd) and the cbd. This sign is commonly deemed to signify on ominous pathology and suggests the presence of pancreatic or biliary malignancy.

Web this double duct sign is the simeltaneous presentation of a dilated pancreatic duct (mpd) and the cbd. This sign is frequently encountered in radiological imaging. In general, the double duct sign represents a. The double duct sign, a simultaneous stenosis of the common bile duct and the pancreatic duct by endoscopic retrograde cholangiopancreatography (ercp), has been reported to predict the presence of pancreatic cancer with a. The double duct sign, a simultaneous stenosis of the common bile duct and the pancreatic duct by endoscopic retrograde cholangiopancreatography (ercp), has been reported to predict the presence of pancreatic cancer with a high degree of certainty. Web the ct study shows a double duct sign that refers simultaneous dilatation of the common bile and pancreatic ducts. Author jorge ahualli 1 affiliation 1department of computed tomography, centro radiológico luis méndez collado, muñecas 444, san miguel de tucumán, tucumán 4000, argentina. We present a patient with colicky pain in the right upper quadrant of her abdomen. Web the double duct sign refers to the presence of simultaneous dilatation of the common bile and pancreatic ducts. Web the double duct sign radiology. This sign is commonly deemed to signify on ominous pathology and suggests the presence of pancreatic or biliary malignancy.