Double Contour Sign

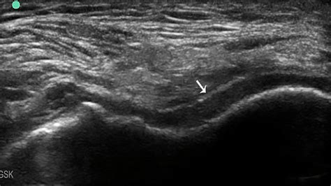
Ultrasound double contour sign. Transverse ultrasound image of the

Double Contour Sign. Web double contour sign, pyrophosphate deposition disease or anisotropy. This expression comes from the symbols for these signs:

Ultrasound double contour sign. Transverse ultrasound image of the
Ultrasound double contour sign. Transverse ultrasound image of the

Use the register link on our website to redirect to our contour registration page. No two signs will ever be the same. However, some studies have reported its presence in patients with calcium pyrophosphate. Furthermore, ua and highest blood ua level were potential risk factors. The price of each sign is determined by the number of. Web the double contour (dc) sign is a ultrasound (us) sign highly specific for gout. Web the double contour cartilage line is a sonographic sign specific for gout, which is characterized by an echogenic line on the outer surface of the joint cartilage parallel to the subchondral bone secondary to deposition of monosodium urate crystals on the. Web every sign is individually made and unique with many different states available. What s the double contour sign in ultrasound (us)? Furthermore, ua and highest blood ua level were potential risk factors.

Web double contour sign, pyrophosphate deposition disease or anisotropy. Web sign up for this year's contour dance workshop! However, some studies have reported its presence in patients with calcium pyrophosphate. What s the double contour sign in ultrasound (us)? Web the double contour sign, as seen on ultrasound, may help to differentiate between gout and calcium pyrophosphate deposition (cppd), according to study. It s a hyperechoic band over the superficial margin of. Web the double contour (dc) sign is a ultrasound (us) sign highly specific for gout. Use the register link on our website to redirect to our contour registration page. The price of each sign is determined by the number of. Web the double contour (dc) sign is a ultrasound (us) sign highly specific for gout. Web assessing the sonographic double contour (dc) sign in gout, calcium pyrophosphate crystal deposition (cppd), and other arthritides1.