Cingulate Island Sign

Cingulate Cortex The Science of Psychotherapy

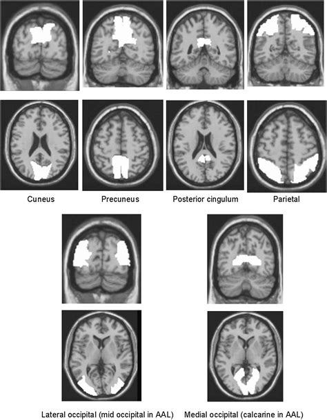
Cingulate Island Sign. Web the cingulate island sign (cis) is the most recently identified specific feature of dlb for a differential diagnosis. This gives the appearance of a discrete 'island' of comparatively more intense uptake in the region of the posterior cingulate gyrus.

Cingulate Cortex The Science of Psychotherapy
Cingulate Cortex The Science of Psychotherapy

As the cis is influenced by concomitant alzheimer's disease (ad. It can help to identify dementia with lewy bodies (dlb) and distinguish it from alzheimer's disease and other dementias. This gives the appearance of a discrete 'island' of comparatively more intense uptake in the region of the posterior cingulate gyrus. Web the cingulate island sign is a highly specific radiological sign described in dementia with lewy bodies. Web the cingulate island sign is a supportive biomarker in discriminating dlb from ad according to the diagnostic criteria and refers to the relative preservation of posterior cingulate cortex metabolism, in relation to the parietal and occipital lobes. Web the cingulate island sign (cis) refers to the relative sparing of metabolism in the posterior cingulate cortex (pcc) and represents an important biomarker in distinguishing dementia with lewy bodies (dlb) from alzheimer disease (ad). Web a cingulate island sign (arrow) is produced when the posterior cingulate gyrus has normal metabolism and there is abnormal reduced uptake in the adjacent parietal and occipital lobes. Web the cingulate island sign (cis) is the most recently identified specific feature of dlb for a differential diagnosis.

Web the cingulate island sign is a highly specific radiological sign described in dementia with lewy bodies. Web the cingulate island sign is a highly specific radiological sign described in dementia with lewy bodies. Web the cingulate island sign (cis) refers to the relative sparing of metabolism in the posterior cingulate cortex (pcc) and represents an important biomarker in distinguishing dementia with lewy bodies (dlb) from alzheimer disease (ad). Web the cingulate island sign (cis) is the most recently identified specific feature of dlb for a differential diagnosis. It can help to identify dementia with lewy bodies (dlb) and distinguish it from alzheimer's disease and other dementias. This gives the appearance of a discrete 'island' of comparatively more intense uptake in the region of the posterior cingulate gyrus. Web the cingulate island sign is a supportive biomarker in discriminating dlb from ad according to the diagnostic criteria and refers to the relative preservation of posterior cingulate cortex metabolism, in relation to the parietal and occipital lobes. Web a cingulate island sign (arrow) is produced when the posterior cingulate gyrus has normal metabolism and there is abnormal reduced uptake in the adjacent parietal and occipital lobes. As the cis is influenced by concomitant alzheimer's disease (ad.