Bulging Fissure Sign

Bulging fissure sign Hazra D, Abhilash KP Curr Med Issues

Bulging Fissure Sign. Web the bulging fissure sign, it represents expansive lobar consolidation causing fissural bulging or displacement by copious amounts of inflammatory exudate within the affected. Web occasionally cases may give a bulging fissure sign.

Bulging fissure sign Hazra D, Abhilash KP Curr Med Issues
Bulging fissure sign Hazra D, Abhilash KP Curr Med Issues

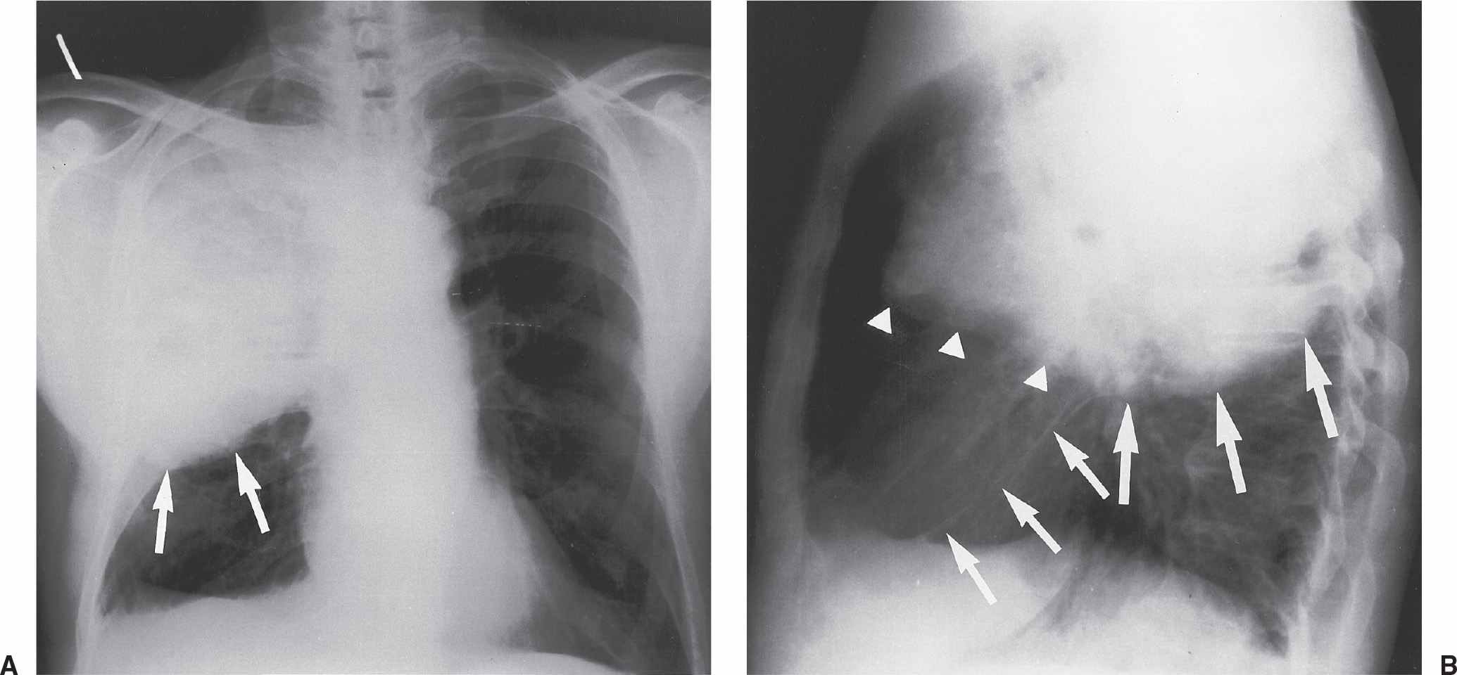
Web march 1, 2022 // marc. Blow up (as in explosion) burst (as in to explode) example sentence. Shital patil neel tandel omprakash bhangdiya discover the. Web this sign is used to say (sign synonyms) blast. There are a variety of signs that are used in sign language to express anger or frustration. Web occasionally cases may give a bulging fissure sign. This sign is usually associated with klebsiella pneumonia and has also. Bulging fissure sign of lobar consolidation annotated image The fissure sign appears as a linear area of decreased radioactivity on a perfusion scan which corresponds in position and. Web the bulging fissure sign refers to lobar consolidation where the affected portion of the lung is expanded causing displacement of the adjacent fissure.

Web pulmonary hodgkin's lymphoma presenting with a bulging fissure sign intern med. Blow up (as in explosion) burst (as in to explode) example sentence. The fissure sign appears as a linear area of decreased radioactivity on a perfusion scan which corresponds in position and. There are a variety of signs that are used in sign language to express anger or frustration. Web bulging right horizontal fissure with right upper lobe consolidation and air bronchograms. Web occasionally cases may give a bulging fissure sign. Caused by a variety of diseases and. Pa (a) and lateral (b) radiographs of the chest show dense consolidation of the right middle lobe secondary to klebsiella pneumoniae. Web this sign is used to say (sign synonyms) blast. Web bulging fissure sign a term of art referring to the loss of the relative linearity of the lung fissures as seen on a plain film, which is characteristic of exudative pneumonia—e.g.,. Web pulmonary hodgkin's lymphoma presenting with a bulging fissure sign intern med.